Sending Enquiry...
Cartilage Repair or ACI

Autologous Chondrocyte Implantation and Mosaicplasty for damaged cartilage in young patients.

A state-of-the-art biomedical procedure that repairs the damaged articular cartilage of joints. It is a 2 stage procedure providing pain relief and restoration of function.

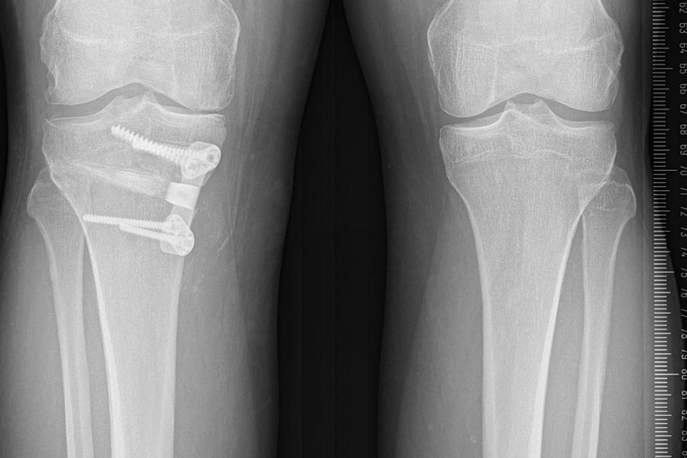
HTO High Tibial Osteotomy

A surgical procedure that realigns the knee joint.

For Young patients who have knee arthritis, this surgery can delay or prevent the need for a partial or total knee replacement by preserving damaged joint tissue.

Stem cell Treatment for AVN

Bone Marrow AspirateTheraapy

The use of and autologous stem cells to halt the progression of AVN of the femoral head, and subsequently preventing young patients from undergoing total hip arthroplasty.