Sending Enquiry...
Total Knee Replacement
Primary, Revision and Complex Knee Replacements

A safe and effective procedure to relieve pain, correct leg deformity, and help resume normal activities. It involves removal of the diseased parts of the joint and replacing them with artificial joint Prosthesis. Our minimally invasive approach leads to early recovery and better function.

With the latest techniques in pain management and advanced anaesthetic procedures, we strive to provide our patients a comfortable surgical experience with minimal pain.

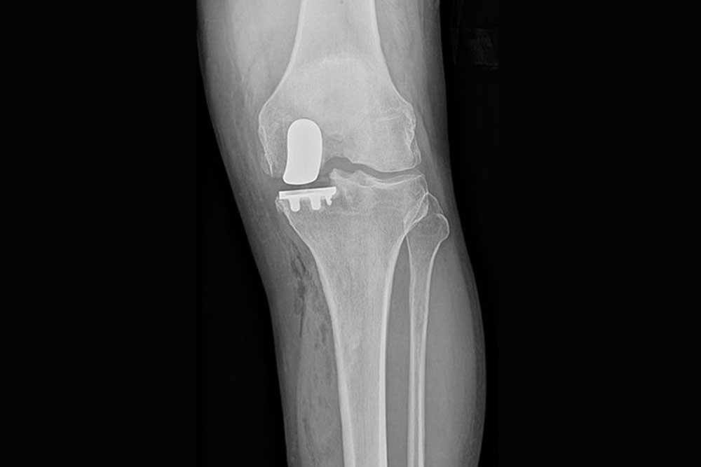
Partial Knee Replacement
Unicondylar Knee Replacement

An alternative to total knee replacement for patients suffering from osteoarthritis with damage confined to only one compartment of the knee joint.

This procedure conserves the original ligaments of the knee while replacing only the damaged part.

This procedure is minimally invasive and provides a natural feel to the patient.

Total Hip Replacement
Primary, Revision and Complex Knee Replacements

A safe and effective procedure to relieve pain, correct leg deformity, and help resume normal activities. It involves removal of the diseased parts of the joint and replacing them with artificial joint Prosthesis. Our minimally invasive approach leads to early recovery and better function.

With the latest techniques in pain management and advanced anaesthetic procedures, we strive to provide our patients a comfortable surgical experience with minimal pain.

Shoulder Replacement

In this procedure we replace the damaged joint surfaces with an artificial prosthesis in cases of Shoulder Arthritis.

In complex comminuted fractures, where fracture cannot be repaired we do a partial shoulder replacement to replace the damaged humeral Head.

In massive complex tears of the shoulder Cuff muscles, where repair is not possible, we do a reverse shoulder replacement as a salvage procedure to provide painless shoulder function which compensates for the lack of muscle function.